Services

Call Us

011 425 5331

Your oral health is our priority.

We pride ourselves on our  friendly, experienced and compassionate team who are truly passionate about maintaining beautiful, healthy smiles. 

We are Benoni’s trusted dental practice, having successfully treated patients in our area for the last 37 years

We work with the majority of medical aid providers. Please call to chat to our team to ensure your provider and plan will cover your desired treatment. Should you have funds available and approved for your dental procedure, we will submit your claim to your medical aid on your behalf.

We address ALL common dental care problems for people of all ages and from all walks of life. 

General Dentistry

At Mod Care we offer comprehensive general dentistry to patients of all ages. Our services span professional checkups, oral health consultations and dental treatments including:

  • White fillings
  • Extractions
  • X-rays and 3D scans
  • Root canal therapy
  • Dental cleans and check-ups

Cosmetic Dentistry

Transform your smile with our trusted cosmetic procedures. We love helping you achieve the results you want, helping you look and feel your absolute best.

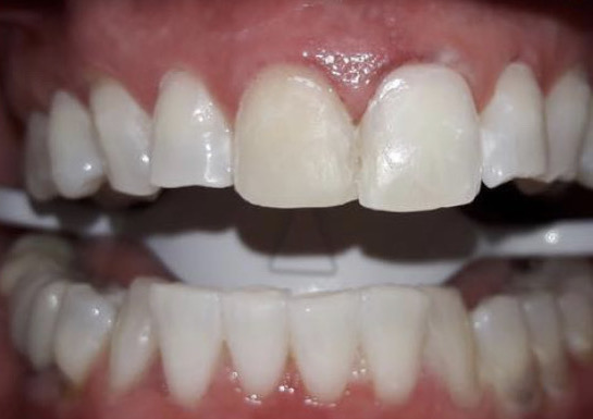
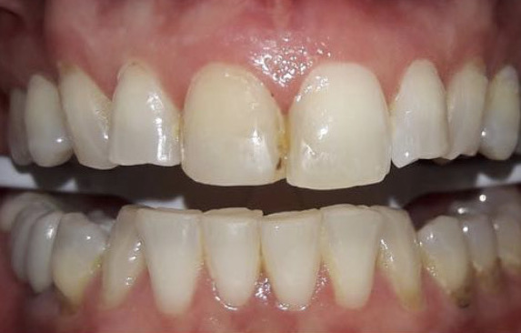
Before After

Teeth Whitening

Our in-office teeth whitening (bleaching) system can significantly improve the appearance of dulled or otherwise discoloured teeth. Achieve shades lighter in a single visit.

Orthodontics

Proin gravida nibh vel velit auctor aliquet. Aenean sollicitudin, lorem quis bibendum auctor, nisi elit consequat ipsum, nec sagittis sem nibh id elit. Duis sed odio sit amet nibh vulputate cursus a sit amet mauris. Morbi accumsan ipsum velit. Nam nec tellus a odio tincidunt auctor a ornare odio.

Veneers

Proin gravida nibh vel velit auctor aliquet. Aenean sollicitudin, lorem quis bibendum auctor, nisi elit consequat ipsum, nec sagittis sem nibh id elit. Duis sed odio sit amet nibh vulputate cursus a sit amet mauris. Morbi accumsan ipsum velit. Nam nec tellus a odio tincidunt auctor a ornare odio.

Restorative Dentistry

Transform your smile with our trusted cosmetic procedures.

As your primary dental care provider, our restorative dentistry involves the diagnosis of all problems relating to the health and function of your smile, including the treatment and repair of broken, infected, or otherwise damaged teeth, gums, and tissue.

Dentures

Removable full and partial dentures are also available for patients in need of a more convenient and affordable tooth replacement solution. Contact Mod Care today if you have any questions for our team, or if you’re ready to schedule an initial appointment.

Ceramic Crowns

A crown is one of the best ways to protect and restore the strength, shape, and natural appearance of a tooth that has suffered from extensive decay or other damage. 

Thanks to our advanced technology, Kloof practice provides durable and custom-made dental crowns. We offer gold or natural tooth-colored porcelain crowns to fit your needs.

The team use the latest digital technology to determine the extent of your tooth’s damage, take accurate 3D imaging or dental impressions, craft a permanent custom-made crown, and expertly secure the crown in place.

Bridges

A bridge works like a series of connected crowns, replacing missing teeth by bridging the gap and using the surrounding teeth as abutments. Once perma-nently cemented in your mouth, bridgework will look, feel and function the same as your natural teeth, giving you years of comfort, stability and aesthetics.

Step into our practice for absolute dental peace of mind.

At Mod Care, we provide excellent dental care to patients of all ages. Whether your dental needs are routine or advanced, we can serve you at our comfortable, inviting office